Smile Gallery

The image shows a close-up of a person s mouth with visible teeth discoloration and yellow stains, which could indicate poor oral hygiene or dental issues.

Before

The image shows a close-up of a person s smile with straight white teeth and red gums, against a neutral background.

After

The image shows a close-up view of a person s mouth with teeth that appear to be in need of dental care, including yellowing and possible decay, against a pink background that could be a lipstick or a similar product.

Before

The image shows a close-up view of a person s teeth with a focus on the front teeth, which appear yellowed and stained.

After

The image shows a close-up of a person s smiling face with teeth that are missing their front teeth.

Before

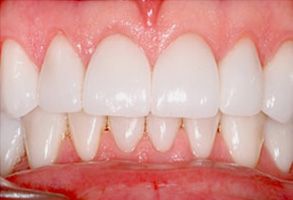
The image shows a close-up of a person s mouth with white teeth and pink lips, smiling broadly.

After

The image shows a close-up view of a person s teeth with visible stains on the front teeth, highlighting dental hygiene concerns.

Before

The image shows a close-up view of a person s teeth with a focus on a large gap between two front teeth, which are visible in the foreground.

After

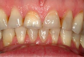
The image shows a close-up view of a person s teeth with yellow stains and uneven wear, likely indicating poor oral hygiene.

Before

The image shows a close-up view of a person s teeth with a focus on the lower front teeth, which appear to be in need of dental work due to discoloration and possible decay, set against a pink gum line.

After

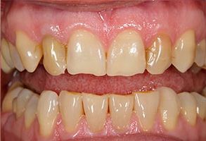
The image shows a close-up view of a person s mouth with a focus on their teeth, which appear to be yellowed and possibly discolored, indicating that they may require dental care or treatment.

Before

The image shows a close-up view of a person s teeth with a focus on a lower front tooth that has been altered for cosmetic purposes, likely involving dental implants or veneers, set against a human mouth and lips.

After

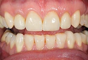
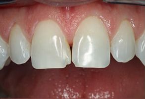
The image shows a close-up of a person s mouth with teeth that appear yellowed and possibly discolored, with some signs of wear and staining.

Before

The image displays a close-up view of a person s teeth with visible plaque and staining, emphasizing oral hygiene concerns.

After

Hours of Operation

Monday
10:00 am - 7:00 pm
Tuesday
10:00 am - 7:00 pm
Wednesday
9:00 am - 6:00 pm
Thursday
9:00 am - 6:00 pm
Friday
7:00 am - 4:00 pm
Saturday
Closed

We are open on alternating weeks from Monday - Thursday and then from Tuesday - Friday